盛岡市 本宮 歯科医院 口腔外科 小児歯科 インプラント ホワイトニング CT セレック オペ室 松本陽子デンタルクリニック
|
歯科用レーザーとは
現在の医療において、レーザーはかなり普及してきており、特に外科・眼科・皮膚科などでは必需品となっています。
歯科医療においては、まだまだ導入されて歴史が浅く機械も高価ですが、どんどん研究が進み、その優れた効果から、歯医者さんのイメージを大きく変えてしまうアイテムとして注目されています。
当医院でも、歯を削ったり、歯肉を切開、消毒したり、歯を硬くしたり(石灰化)、痛みをやわらげたり〈鎮痛〉、知覚過敏の治療など、多目的に使用していますが、特に今までのように、麻酔をしなくても痛みはほとんど無い点に注目し、患者さんに快適な治療を提供するために導入しています。
次のような治療に活用されます
歯周病治療
レーザーを歯と歯肉の間にある「歯周ポケット」と呼ばれる部分に照射することにより、原因菌が減少して歯肉の腫れや痛みを抑えることができます。通常の歯周病の予防や治療と併用することにより、効果的に治療を行うことができます。
虫歯治療
レーザーで虫歯治療を行う場合、ドリルを使わずに治療を行うことが出来るので不快な「キィーン」という音がありません。又、レーザーを使うと痛みも少なく、麻酔をしなくてすむ場合もあります。
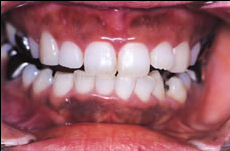
審美歯科治療
喫煙や口呼吸などが原因の歯肉の黒ずみ(メラニン)をレーザーで消すことが出来ますこの技術は、歯科だけではなく皮膚科などのシミやソバカスの除去などにも幅広く使用されています。
| レーザー治療前の歯肉 | レーザー治療後の歯肉 | |
![]() |
⇒ | |
yoko matsumoto dental clinic 2011. design by matsumoto




